L’implant
Les principales indications des implants dentaires sont :
– le remplacement d’une dent unitaire. Grâce à ce procédé, il n’y a pas de mutilation des dents voisines.
– le remplacement de plusieurs dents manquantes par un bridge sur implants. Cela évite l’appareil amovible.
Le choix se fait en fonction de l’emplacement, de la quantité d’os disponible, et des éléments anatomiques environnants à partir d’examens cliniques, radiologiques et scanner de la zone à implanter.
Le chirurgien-dentiste après une anesthésie locale pratique une incision, puis il décolle la gencive pour accéder à l’os alvéolaire.
Ensuite il prépare l’emplacement de l’implant dans l’os en passant plusieurs forets de diamètre croissant. Le forage de l’os se fait à vitesse maîtrisée et lente sous irrigation, pour respecter la structure osseuse et éviter tout échauffement de celle-ci. Le praticien arrête lorsqu’il a obtenu un puits d’un diamètre très légèrement inférieur à l’implant à poser.
L’implant est placé dans l’os le plus souvent par vissage et doit avoir une liaison forte avec l’os. Le praticien replace alors la gencive et pose des points de suture.
Il faut attendre après la pose de l’implant, l’ostéo-intégration, qui peut durer plusieurs mois. L’implant va se souder complètement avec l’os et contrairement à la dent naturelle, il n’y a pas de souplesse ou de mobilité physiologique dues au ligament alvéolo-dentaire.
La technique en une seule étape chirurgicale n’est pas toujours possible, c’est à votre chirurgien-dentiste de prendre la décision.
Pour finir, une prothèse sera mise sur cet implant qui se comportera comme une racine artificielle.
Exemple d’un implant unitaire pour remplacer une dent antérieure manquante.
Deux techniques sont possibles. Elles font appel à la barre de rétention ou aux boutons-pressions.
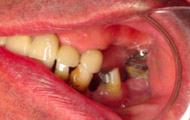
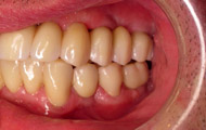
Exemple d’une réhabilitation complète implantaire
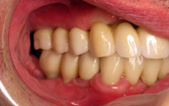
Situation clinique initiale